SYMPTOM こんな症状はありませんか?

歯列不正の種類によって
治療方法は異なります

一言に歯列不正といっても、さまざまな症状があります。
症状や噛み合わせ、歯並びの状態によっても治療方法が異なります
ここでは、歯並びの改善が必要な歯列不正についてご紹介します。当てはまる歯並びの方は、ぜひご相談ください。

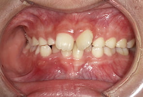
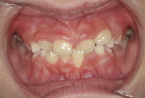
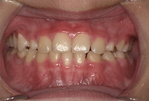
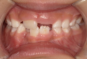
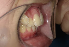
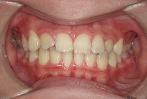
出っ歯

上顎前突と呼ばれ、下顎に対して上顎が大きく前に出た状態をいいます。噛み合わせが深く、咬んだ状態では下の歯がほとんど隠れてしまうような歯並びの方もいらっしゃいます。顎の関節に負担がかかり、顎関節症になってしまうリスクが高いので、改善が必要です。また、唇が閉じにくいことにより、前歯にホワイトスポットと呼ばれる白い斑点のようなものができたり、歯周病になりやすいというデメリットもあります。

症例

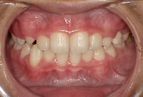
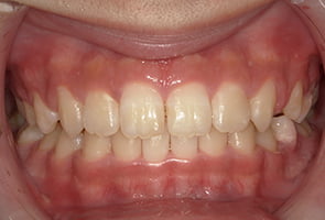
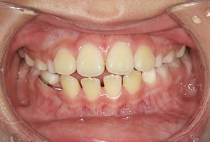
  1. BEFORE
    AFTER
  2. BEFORE
    AFTER
  3. BEFORE
    AFTER
  4. BEFORE
    AFTER

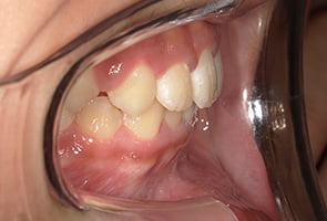
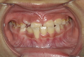
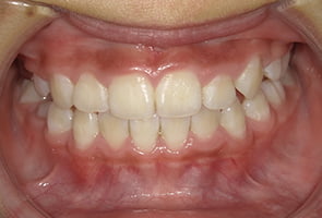
受け口

下顎前突又は反対咬合と呼ばれ、上顎によりも下顎が出ている状態をいいます。噛み合わせが反対になっているだけでなく、お顔にもアンバランスが生じるため、治療を希望される方が多い症状です。3歳までは自然に治癒する可能性がありますが、3歳をすぎると自然に改善する可能性は非常に低くなります。そのまま成長すると、顎関節に負担がかかりやすくなるため、早期の治療をおすすめします。

症例(受け口)

  1. BEFORE
    AFTER
  2. BEFORE
    AFTER
  3. BEFORE
    AFTER

症例(部分受け口)

  1. BEFORE
    AFTER
  2. BEFORE
    AFTER

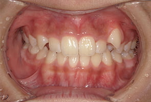
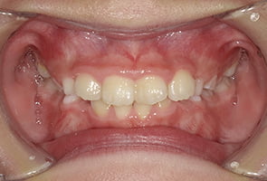
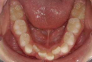
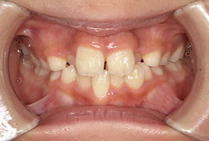
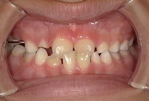
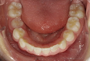
ガタガタの歯並び

乱杭歯もしくは叢生と呼ばれる状態です。歯と歯が重なり合っており、顎におさまりきっていないので見た目が悪いだけでなく、歯磨きがしにくく、虫歯や歯周病のリスクが高い状態です。噛み合わせにも異常がみられるケースが多く、顎関節症などさまざまな口腔疾患のリスクが高くなってしまいます。見た目にも大きく影響するため、お悩みとして一番多い症状です。

症例

  1. BEFORE
    AFTER
  2. BEFORE
    AFTER
  3. BEFORE
    AFTER
  4. BEFORE
    AFTER
  5. BEFORE
    AFTER

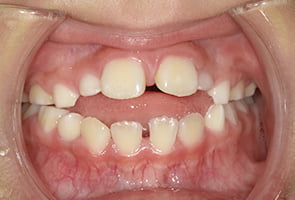
開咬

噛んでいるのに歯と歯の間に隙間が見える状態を開咬といいます。噛んでいない歯が多ければ多いほど、状態としては重篤で、噛んでいる歯の負担が極端に大きくなります。食事が噛みにくい、前歯で食べ物を噛み切れないなどの症状が一般的です。ひどくなると食事がしにくくなり、固形物が食べられなくなることもありますので、噛んでいる歯が少ない場合は、早めの治療が必要です。また、長期に渡って指しゃぶりをしていると開咬になりやすいため、注意が必要です。

症例

  1. BEFORE
    AFTER
  2. BEFORE
    AFTER

CONTACT お問い合わせ

ご予約、ご相談はお気軽にこちらまでどうぞ! 04-2952-1313

月〜金:9:00 - 17:30 休診日:日曜日・祝日 ※予約制
土:9:00 - 13:00 午後は自費・メンテナンスのみ

タップで電話をかける 予約制 04-2952-1313 矯正相談フォーム CONSULTATION FORM